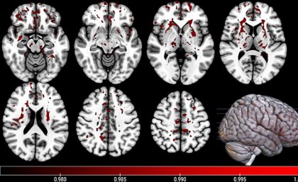
COVID-19 may have an impact on people’s cognitive and memory abilities that lasts a year or more after infection. A new study by Imperial College London researchers reveals small deficits in the performance of cognitive and memory tasks in people who had recovered from COVID-19 compared with those who had not had COVID-19. This includes […]
Read More… from COVID-19’s Lasting Impact on Cognition and Memory











