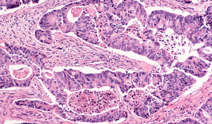
NICE guidelines published last year recommended that all bowel cancer patients should be tested at diagnosis for signs of Lynch syndrome but we know that this isn’t happening in eight out of 10 NHS hospitals in England. It’s absolutely vital that these guidelines are followed because Lynch syndrome, which is an inherited condition, can increase […]
Follow NICE guidance and test for Lynch


