Iron accumulation: a new insight into fibrotic diseases

fibrosis

Fibrosis is associated with various chronic and life-threatening conditions, including pulmonary fibrosis, liver cirrhosis, kidney disease, and cardiovascular diseases, among others. These conditions collectively contribute to a substantial portion of mortality in developed countries, making fibrotic diseases a critical health problem requiring attention, research, and innovative approaches for diagnosis and treatment. Scientists at IRB Barcelona’s […]

Read More… from Iron accumulation: a new insight into fibrotic diseases

Risk assessment after severe complication of liver cirrhosis improved

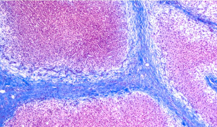
liver

Approximately half of patients with advanced liver disease have varicose veins in the oesophagus and stomach, and a more than a fifth of them experience bleeding from these varices into the digestive tract. This is a life-threatening complication that contributes significantly to the still high mortality rate in cirrhosis. An international research team led by […]

Read More… from Risk assessment after severe complication of liver cirrhosis improved

New blood biomarker: fatty liver disease

blood biomarker

New blood biomarker identified for status of fatty liver disease: A MedUni Vienna study team has identified the role of a specific subtype of macrophages (white blood cells) in progressive non-alcoholic fatty liver disease. As part of the immune system, these cells have a protective function against fibrosis and liver cirrhosis. At the same time, […]

Read More… from New blood biomarker: fatty liver disease

New study on Liver Cirrhosis

liver cirrhosis

Liver cirrhosis: new study on the impact of systemic inflammation on disease progression: Patients with liver cirrhosis display a wide range of clinical symptoms. A prospective study conducted by MedUni Vienna has now shown that blood levels of biomarkers for systemic inflammation increase over the various stages of the disease and can predict the development […]

Read More… from New study on Liver Cirrhosis