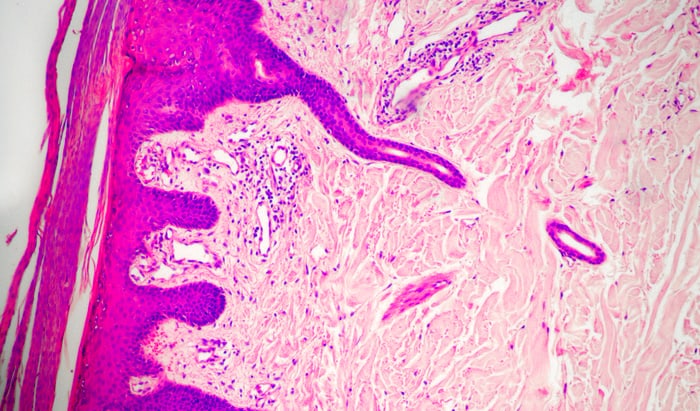
New treatment option for psoriasis discovered: Psoriasis is one of the most common chronic inflammatory skin diseases, affecting around 250,000 people in Austria. While previous treatment approaches have mainly focused on inhibiting pro-inflammatory immune cells, a study led by MedUni Vienna shows that it is possible to restore the function of certain anti-inflammatory immune cells […]
Read More… from New treatment option for psoriasis discovered










